About Us恵比寿エスト矯正歯科~6つのポイント~
 
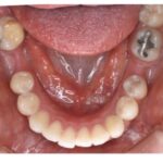
					舌側矯正(裏側矯正)における実績/症例数
歯科矯正治療の中でも舌側矯正(裏側矯正)は、最も難易度が高いと言われています。矯正医でも難しいとされる舌側矯正においての症例数(実績)が多いのが恵比寿エスト矯正歯科の特徴です。
 
					後悔のない矯正治療を提供
「短期間で終わる」「安くできる」といった魅力的な言葉を目にすることもありますが、矯正治療は決して“手軽な美容”ではありません。
						近年では、治療を始めたものの噛み合わせがずれた、後戻りしてしまった――といった“矯正難民”と呼ばれる方が増えています。
						矯正治療は、単に歯を動かすだけでなく、骨格や噛み合わせ、機能までをトータルに整える医療行為です。
						そのため、一度の治療で長く安定すること、何度も矯正治療をやり直す必要がないことを大切にしています。
					
 
					Google 口コミ
矯正治療を受けた方の不満の上位に必ず挙がるのが、「治療中に虫歯ができた」「矯正の先生に気づいてもらえなかった」という声です。
						実際、虫歯のチェックやクリーニングは矯正専門医院の業務外とされることが多く、矯正治療中の虫歯ケアは患者さん任せになってしまうのが現状です。
						しかし、当院ではそうしたことが起きないように、毎回の調整時に丁寧なクリーニングを実施しています。
						矯正治療中でも口の中を清潔に保ち、虫歯や歯ぐきのトラブルを防ぐことで、安心して最後まで治療を続けられる環境を整えています。
					
 
					週末(土日)に通院できる
日曜日に診療している矯正歯科は、都内でも多くはありません。
						多くの医院では土曜日のみ診療(日曜日は休診)、もしくは月に1回程度の日曜診療にとどまります。
						
						当院では、土日どちらも診療しているため、平日お仕事や学校で忙しい方でも安心して通院いただけます。
						「続けやすさ」も矯正治療の大切な要素と考えています。
					
 
					矯正治療を経験しているからこそ
実際に経験してみて初めてわかることが多くあります。
						痛みや違和感、食事の不便さ、そして治療が長く感じるときの気持ちなど。
						
						院長ならびに多くのスタッフが矯正治療の経験者です。その体験をしたからこそ、患者さんの気持ちが想像できます。
						当院は、患者さまの気持ちに本当に寄り添える矯正歯科でありたいと考えています。
					
 
					貯金が無い方でも
矯正治療は決して安い治療ではないため、「もう少し貯金をしてから」とお考えの方も多いのが現実です。他院ではローン契約を案内されることもありますが、その場合は金利や手数料が発生してしまいます。
						
						当院ではそうした負担をなくし、安心して治療を始めていただけるよう、最大24回までの院内分割を無金利・手数料なしでご案内しています。このような制度は都内でも珍しく、患者さまの「始めやすさ」と「続けやすさ」を大切にした当院ならではの取り組みです。
					

 
					



 
					

 
			 
					 
					 
										



 
							
